0%

Theme A : Unity & Diversity

25 MCQ from 2025 Question Bank Unity & Diversity (all topics)

DP IB SL Biology Quiz

 

1 / 25

1. Which of the following is not soluble in water?

2 / 25

2. What property of water helps living organisms maintain their internal body temperature?

3 / 25

3. Statements below show three double-stranded nucleotide sequences. Which of these sequences of base pairs is possible in a DNA molecule?
I. 5’- GGA CAG AGC -3’
   3’- CCT GTC TCG -5’
II. 5’- GGA CAG AGC -3’
    3’- TTC ACT CTA -5’
III. 5’- AGG GAC CGA -3’
     3’- TCC CTG GCT -5’

4 / 25

4. What substances are attracted to water and form intermolecular bonds with water molecules?

5 / 25

5. What is the best definition for a species?

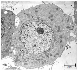
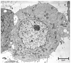
6 / 25

6. What type of cell is shown in the image?

cell image

7 / 25

7. Which are common features of bacterial cells?

  • I.  Have a single chromosome
  • II. Have plasmids
  • III. DNA associated with proteins

8 / 25

8. Which statement about eukaryotic cells is correct?

9 / 25

9. What intermolecular bond is responsible for water's cohesive, adhesive and thermal properties?

10 / 25

10. Which of the following is not a function of the Golgi apparatus?

11 / 25

11. Which of the following statements are true about the structure of cells?

I.     All cells contain cytoplasm enclosed by the plasma membrane.
II.   The microscope was important in understanding the structure of the cell.
III.  Prokaryotes do not have genetic material.

12 / 25

12. molecule chlorophyll

Chlorella contains the molecule chlorophyll which makes it to appear green. What life function is exhibited in this example?

13 / 25

13. Which structure found in a eukaryote has a double membrane?

14 / 25

14. Which row in the table correctly identifies structures which are present () or absent (×) in prokaryotic and eukaryotic cells?

 

Structure Prokaryotic cells Eukaryotic cells
A. 80S ribosomes ×
B. Plasma membrane ×
C. Nucleus ×
D. Mitochondria ×

15 / 25

15. Which organelle has a double membrane?

16 / 25

16. What do the two labelled organelles have in common?

labelled organelles

17 / 25

17. Paramecium produces enzymes that catalyse different chemical reactions taking place in the cytoplasm. What function of life is demonstrated in this situation?

18 / 25

18. These photographs show the same section of a human retina. What is the reason for the difference between the two diagrams?

same section of a human retina

19 / 25

19. What provides evidence that all life on Earth evolved from the same population of cells?

20 / 25

20. What is the main role of the ribosomes labelled in the micrograph?

ribosomes labelled in the micrograph

21 / 25

21. The micrograph below shows the longitudinal cross-section of a stem from a plant in the Pinus genus. Xylem vessels are clearly visible.

longitudinal cross-section of a stem from a plant in the Pinus genus
The xylem is composed of hollow, tube-like tissues that transport water through capillary action. What property of water explains capillary action?

22 / 25

22. Which property of water enables marine animals such as the ringed seal (Pusa hispida) to stay afloat in water without expending large amounts of energy?

23 / 25

23. Which is not a cause of the current biodiversity crisis?

24 / 25

24. Which statement(s) are possible solutions to the biodiversity crisis?

I.    Promoting rewilding projects
II.   Recycling and reusing products
III.  Increase meat consumption

25 / 25

25. Which provides evidence for a higher level of biodiversity now compared to any time in the past?

Your score is

0%